Direct composite bonding
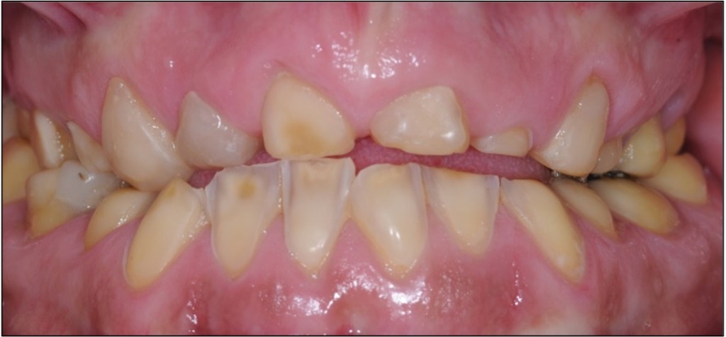
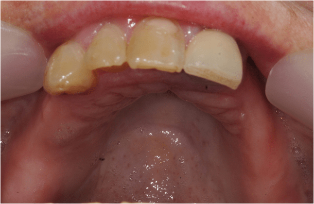
Direct composite is often used to treat toothwear. It is a minimally invasive method that does not damage the underlying tooth structure. It can chip, stain and fail. However, replacement and repair is more straightforward. This case was treated with direct composite alone.
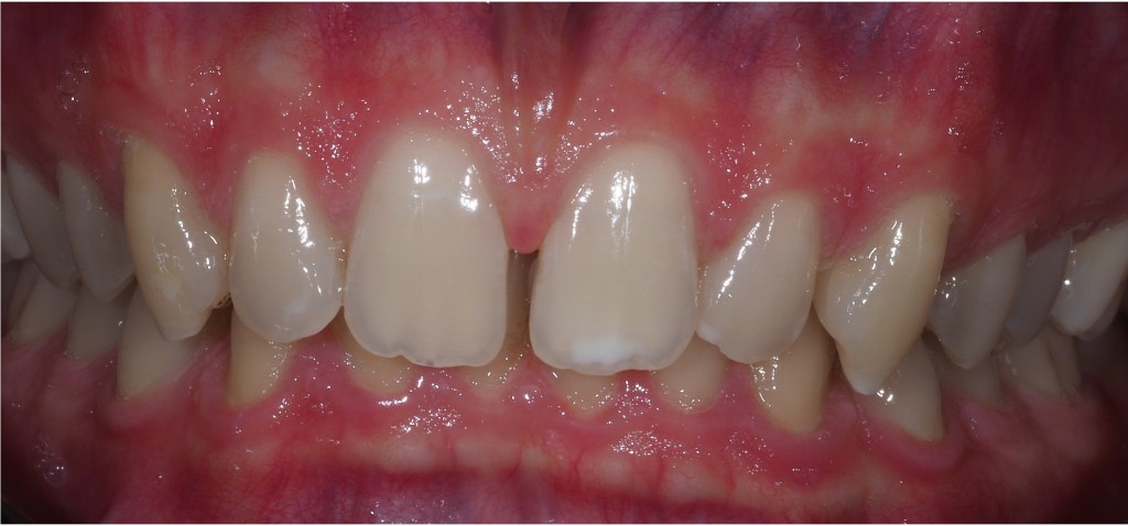
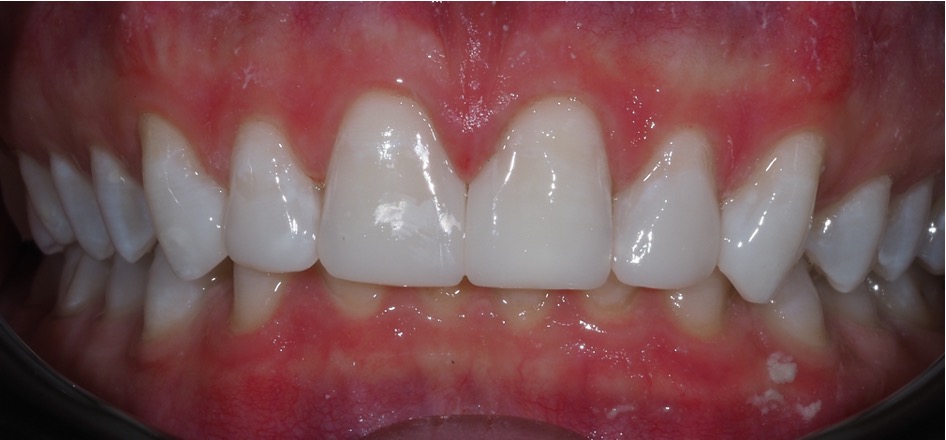
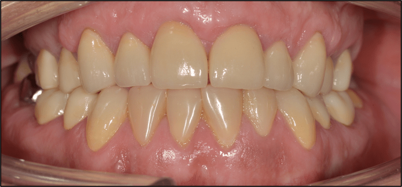
Another case of mild toothwear and discolouration was treated with direct composite bonding.
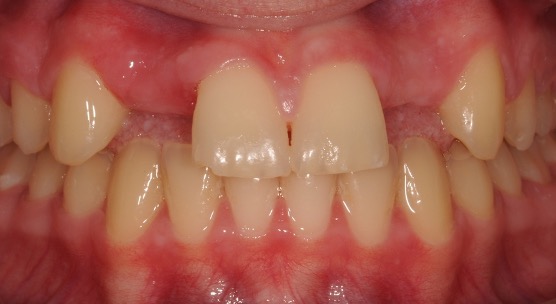
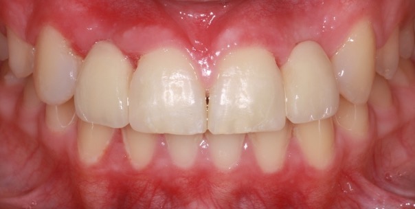
Composite bonding can also be carried out to close spacing and change the colour of teeth particularly when orthodontic treatment is not desired and tooth whitening has been attempted.
Crowns
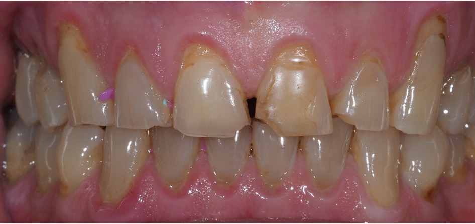
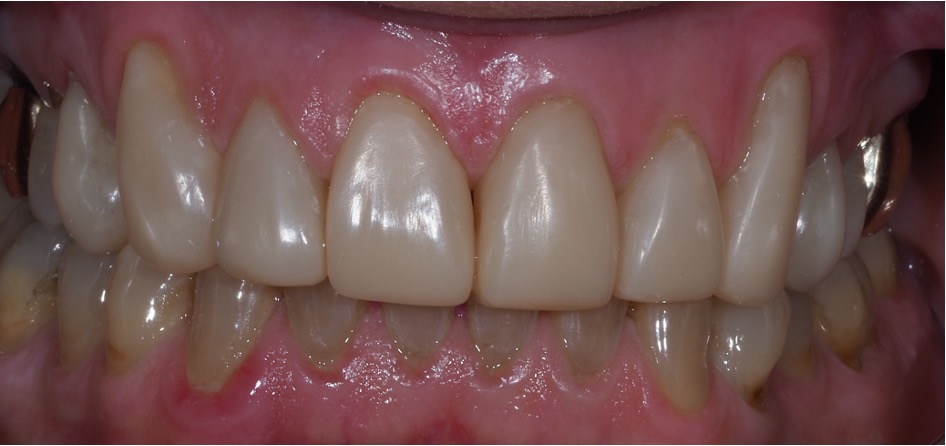
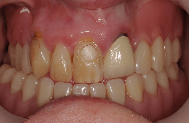
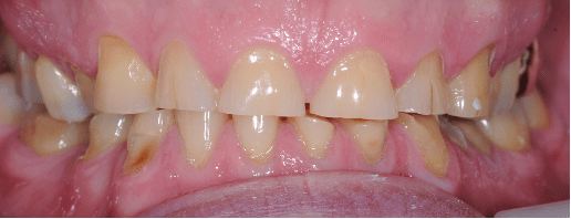
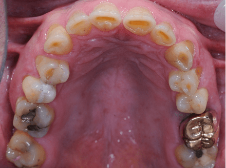
Crowns may be used to treat toothwear or broken down teeth. They are often selected where composite has failed, the teeth are too broken down or there is a need to provide a stronger material. This case was managed with surgical crown lengthening and multiple crowns. The lower incisors were treated with composite.
Fixed bridges
Adhesive or “sticky” bridges are often used to replace single missing teeth. They are minimally invasive and do not damage the underlying tooth. They can have a good lifespan particularly when replacing front teeth. They are an excellent option when there is not enough bone or space for a dental implant.
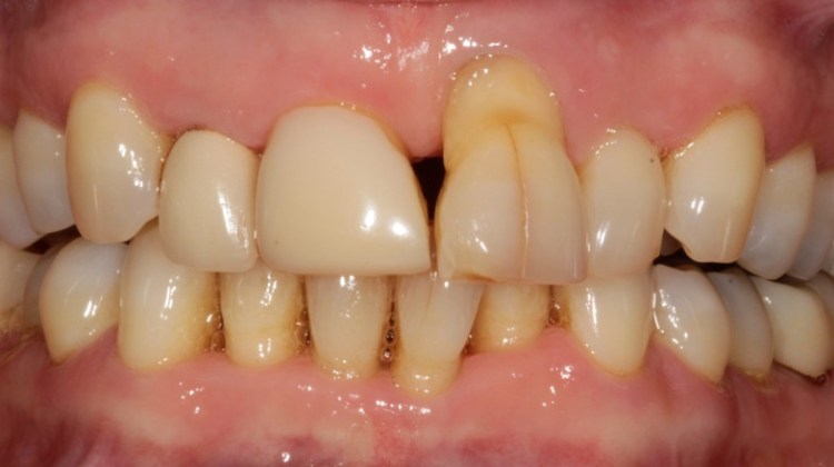
Conventional bridges involve preparing the underlying tooth structure. This is more destructive but can be a good choice if an adjacent tooth already has or will need a crown. In this case the single crown was replaced at the same time.
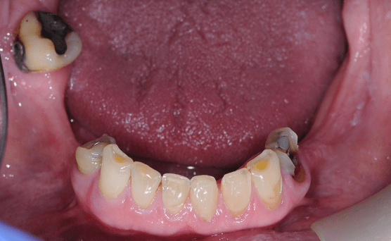
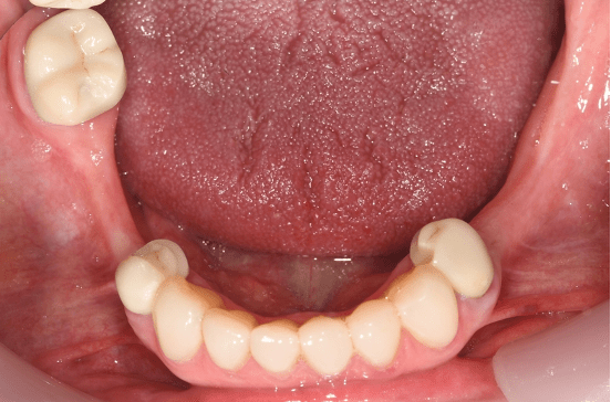
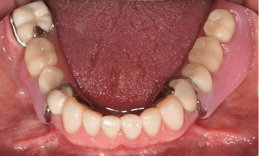
Partial dentures
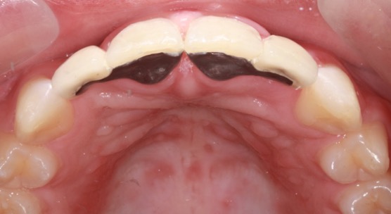
Removable partial dentures can be provided to replace multiple missing teeth. This will aim to provide function for chewing and aesthetics by replacing the teeth. In this a simple replacement acrylic partial denture was provided.
Metal dentures can be provided when there are a number of stable teeth to help support and hold the denture in place. It is often a healthier way to replace the teeth as it can minimise the coverage of the gums and movement that may harm the health of the remaining teeth. Selective crowns may be needed to optimise the support and retention.
Mixed treatments
Often multiple different methods to restore teeth are needed. A combination of root canal treatment, crowns, direct composite and an adhesive bridge were provided to achieve a functional and stable result in this case.



























