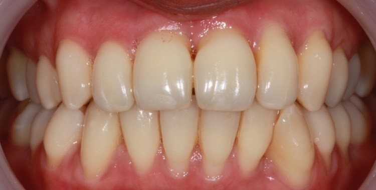
Non-surgical treatment
Initially gum disease is managed with oral hygiene advice to optimise self-performed plaque control. Non-surgical periodontal treatment “deeper cleaning” is carried out to disrupt the biofilm and remove hard calculus deposits from the root surfaces. Sometimes antibiotics are prescribed alongside this treatment if it is deemed particularly aggressive.
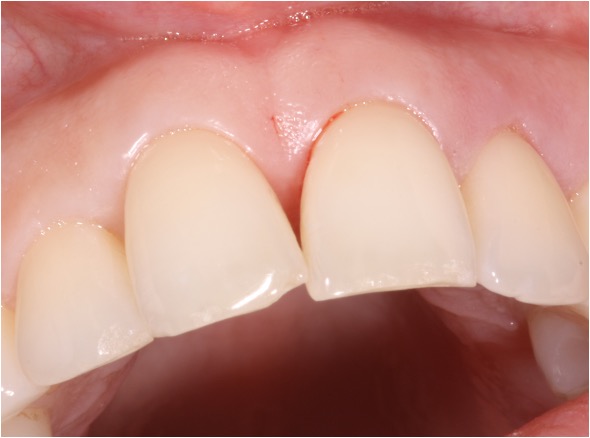
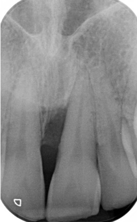
Regenerative periodontal surgery
Periodontal surgery is done in discrete areas of persistent disease that has not responded to non-surgical treatment. In this case a regenerative approach was done to “build-up” the bone. It can only be done in certain scenarios but can significantly improve the tooth’s prognosis
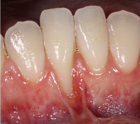
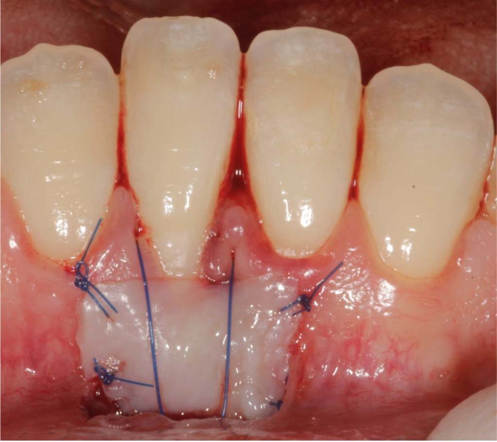
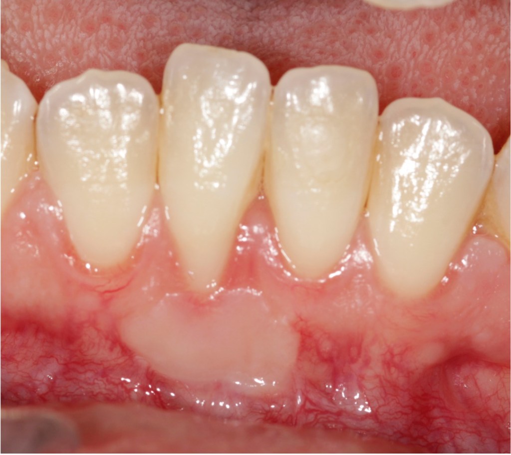
Recession surgery – Free gingival graft
A free gingival graft can cover the recession area and provide “tougher” gum to prevent further recession and make brushing more comfortable. This can also be done around implants. The graft is taken from the roof of the mouth which heals over after a few weeks.
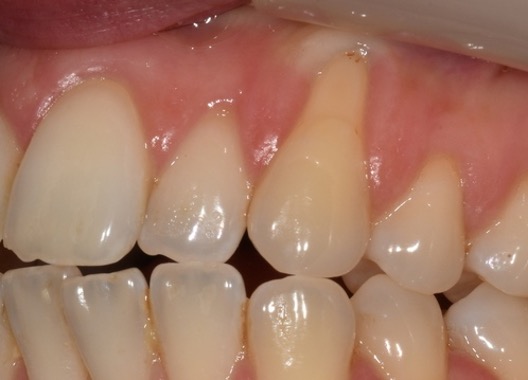
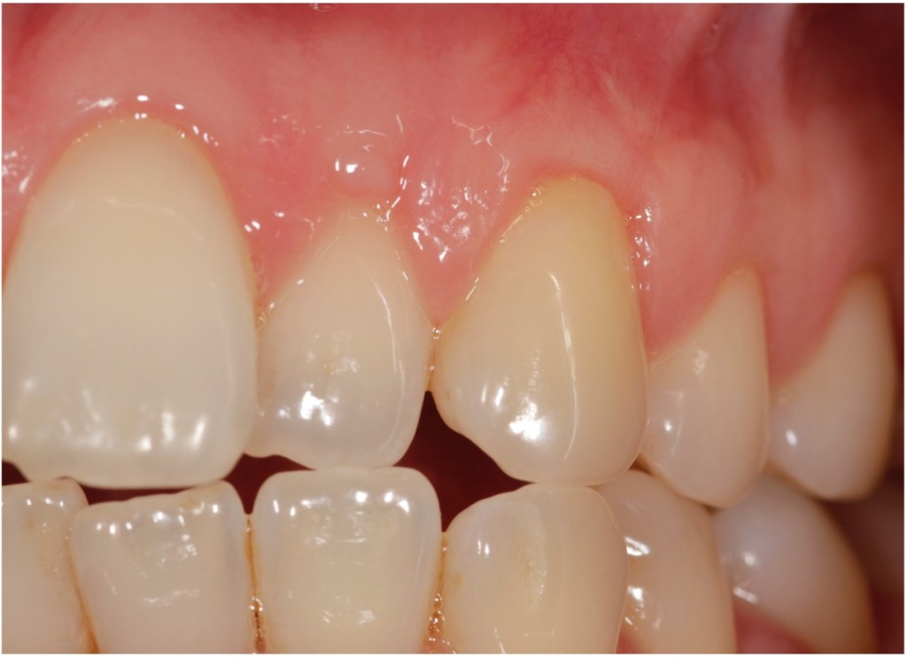
Recession surgery – connective tissue graft
A connective tissue graft is another way to cover recession. This takes a sub-layer of tissue from the palate. The advantage of this is more comfortable healing from the palate and a better colour match to the grafted area.













