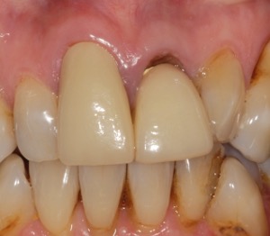
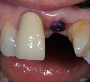
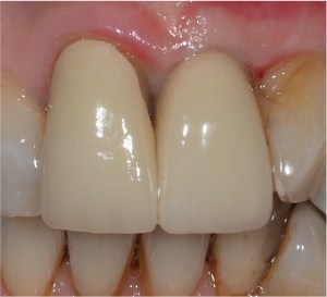
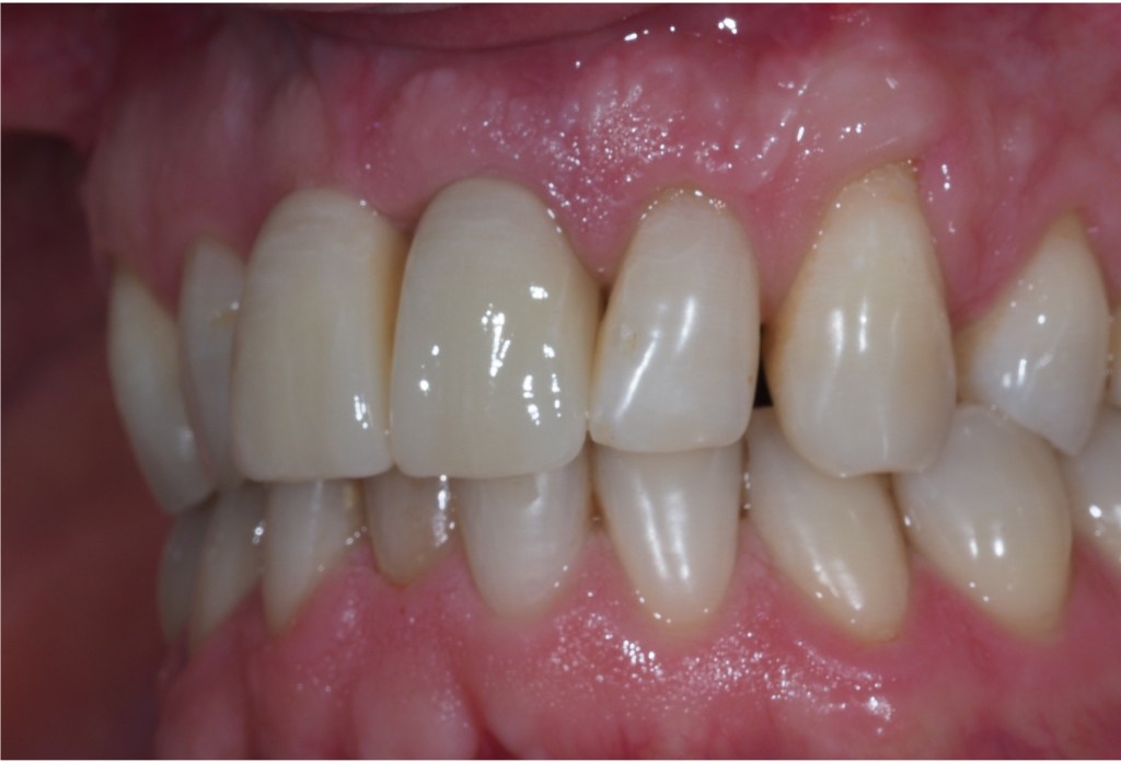
Single implant crowns
Single implant crowns are an excellent way to replace missing teeth. They do not damage the neighbouring teeth and last for a long period of time. These are usually screw retained to allow repair/replacement if there are any maintenance issues.
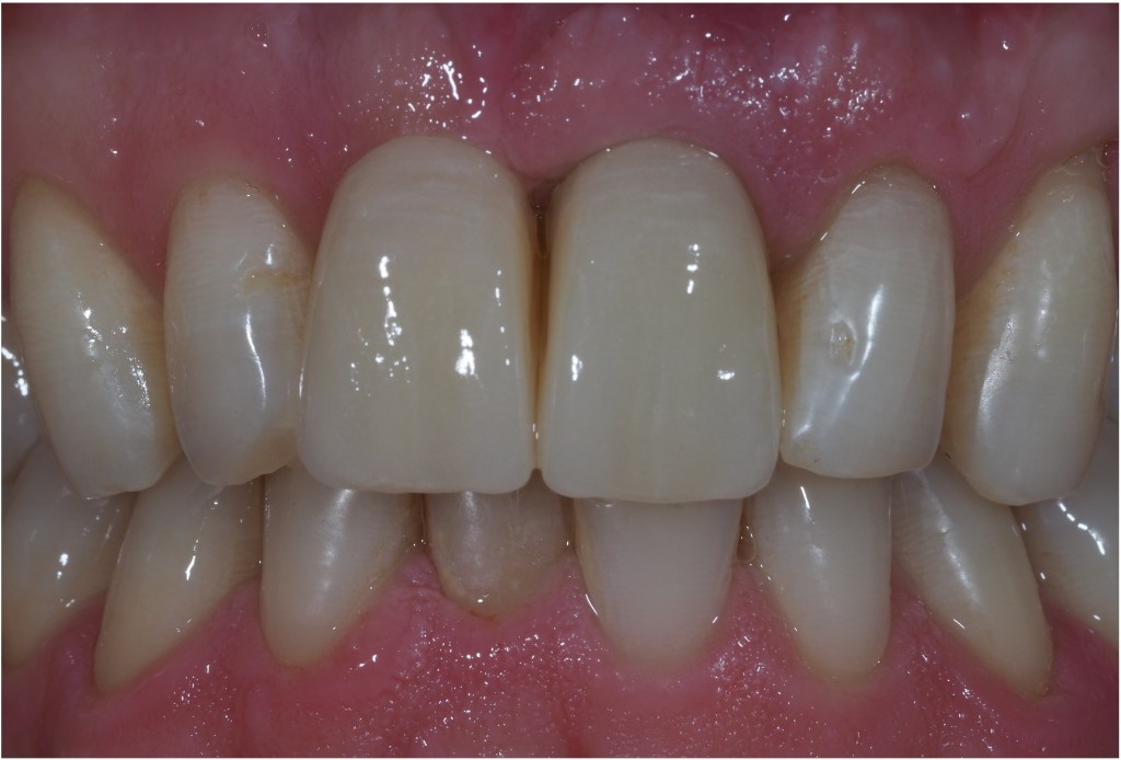
Implant bridges
Two missing teeth can be replaced by a single dental implant. This is often the case if there is not enough bone at both sites or the space is too narrow for two implants. It can also reduce the cost of treatment. As long as the bite forces are controlled and a strong implant is used these can be a very successful treatment.
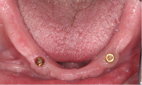
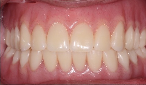
Implant supported dentures
Dentures can be hard to tolerate. Dental implants can be used to help keep dentures in place but still allow removal for cleaning. It is an excellent and cost effective way to replace multiple teeth. This can also be used in combination with partial dentures.












