Primary root canal treatment

Root canal treatment of the lower right second molar. The curved roots can make cleaning and filling these cases more challenging. Care is taken not to create ledges and blockages in the canal.
Secondary root canal treatment

Root canal treatment can be repeated. In this case a missed 4th canal probably led to the failure of the first attempt. These can take longer to treat as the old root filling is removed first.
Horizontal root fractures

Root fractures may require careful placement of root filling up the fracture line. The rest of the root remains vital and infection free in many cases.
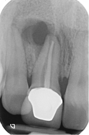
Secondary root canal treatment

Injury to the tooth can cause the root canal to shrink. High magnification and fine ultrasonic instruments are used to locate the root canal.
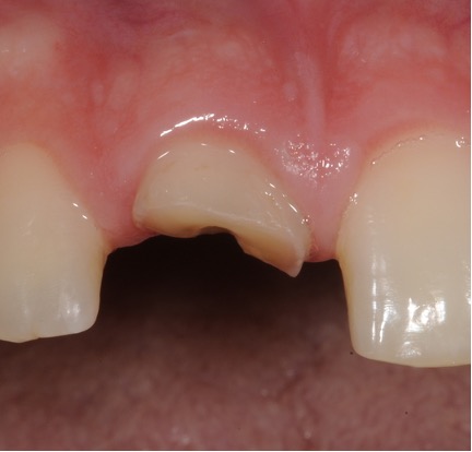
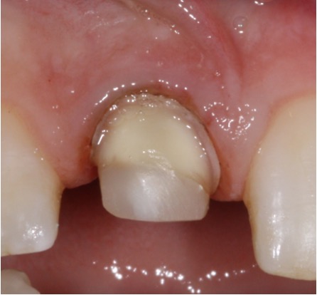
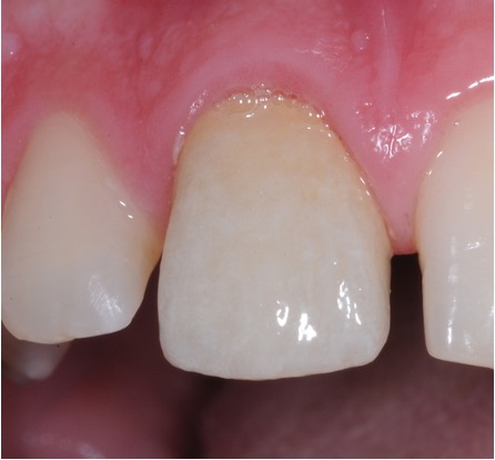
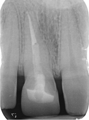
Fractured teeth
In this case a repeat root filling was completed. This is to minimise risk of infection from the exposed existing root filling. A fibre post and core was placed to build up the tooth sufficiently to retain a crown. This was then restored with an all ceramic crown. If there is insufficient tooth structure sometimes surgery can be carried out. In other cases it may not be possible to restore the tooth.
Internal resorption

Trauma may cause resorption. The resulting unusual root canal anatomy requires a thermoplastic root filling to seal and prevent further resorption.
Separated instruments

Separated instruments can occur during root canal treatment. These may be able to bypassed or removed to allow completion of the root filling.
Open apex/wide canals
If a tooth is traumatised before full root development this can leave the root canal space very wide. These wide canals often require a carefully managed root filling with a “plug” placed at the apex to prevent under or overfill. The material of choice is a mineral trioxide aggregate which has excellent properties to promote healing at the end of the root. The same material is used in endodontic surgery.
Apical surgery
In cases where non-surgical root canal treatment has failed apical surgery may be indicated. Often there is a cyst that requires enucleation around the end of the root. Then the root tip is removed and the end of the root sealed with a retrograde root filling. In large lesions a general anaesthetic may be required. The tissue may also require sending off for a biopsy.













